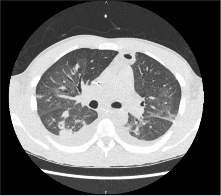
Fig. 2
From: Lemierre’s syndrome causing profound thrombocytopenia and respiratory failure: a case report

Diffuse interstitial thickening with cavitary changes in multiple bilateral lung nodules with thick walls. Consolidative opacities with some lucent areas which may suggest cavitary changes